Reprezinti o clinica medicala? Uite cum te putem ajuta!

Clinica medicala

Clinica Dr. Dragus

Clinica Dr. Dragus
Estetica dentara digitala

Articole

Dr. Andi Dragus

Parodontologia este ramura medicinii dentare care se ocupa de combaterea bolilor gingivale cauzate de bacteriile din gura. Aceasta boala este intalnita la adulti, iar daca nu este tratata la timp poate duce la pierderea dintilor.
Factorii care favorizeaza aparitia bolii parodontale Citeste mai departe

Clinica Dr. Dragus

Periodontita reprezinta inflamatia tesuturilor de sustinere a dintilor (parodontiu), mai este cunoscuta ca și boala parodontala (parodontoza).
Periodontita este o leziune ireversibila, care in timp duce la pierderea dintilor de pe arcadele dentare.
Boala parodontala debuteaz... Citeste mai departe

Clinica Dr. Dragus

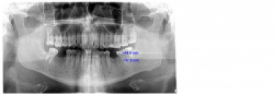
Radiografia dentara este o metoda complementara de investigare a afecțiunilor dento-maxilare, ea reprezentând imaginea dinților si maxilarelor obținuta prin expunerea acestora la radiații X si are ca scop depistarea unor detalii nedetectabile la examenul clinic (leziuni carioase ... Citeste mai departe

Clinica Dr. Dragus

BUCURESTI

Sectorul 1

Adresa: Str. Stirbei Voda, nr. 110A

Tel: 0213124690

E-mail:

Web: http://www.clinicadrdragus.ro/

L
14:00-20:00
V
14:00-20:00
M
14:00-20:00
S
Inchis
M
14:00-20:00
D
Inchis
J
14:00-20:00
Reprezinti o clinica medicala? Uite cum te putem ajuta!