- SfatulMedicului.ro
- IlustratiiMedicale
- Iritatiile pielii
|
Nu este intotdeauna grava, dar uneori provoaca dureri
Pielea este rezistenta la diferite atacuri asupra acesteia, dar exista cativa factori care o pot leza. Virusurile, parazitii, fungii, caldura si medicamentele pot cauza eruptii sau iritatii ale pielii. Chiar daca nu ameninta viata, iritatiile sunt uneori inconfortabile, deranjante sau dureroase. Unele, precum iritatiile de la caldura dispar de la sine. Altele, precum rozaceea sau alergiile provocate de medicamente necesita tratament medical. Urmeaza un ghid al celor mai intalnite iritatii si eczeme, al cauzelor acestora si aflati cand trebuie sa apelati la medic.
|
Dermatita atopica
Aceasta forma de dermatita, care se refera de obicei la o eczema, este o stare cronica a pielii, insotita de mancarimi si de inflamarea pielii. Cel mai des apare in regiunea poplitee, in pliul coatelor sau in partea anterioara a gatului. Tinde sa dispara o vreme, pana la cativa ani. Cauza exacta a dermatitei atopice nu este cunoscuta dar poate fi rezultatul unei disfunctii a sistemului imun. Chiar si cazurile moderate de dermatita atopica pot cauza mancarimi serioase. Masurile de auto-protectie, cum ar fi evitarea unor sapunuri sau a altor iritanti precum uleiurile sau cremele, pot fi de ajutor. Consultati medicul daca simptomele va distrag de la activitatile zilnice sau nu va permit sa dormiti.
|
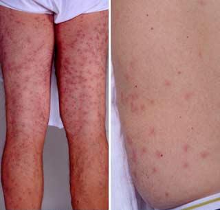
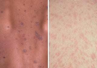
Pitiriazisul rozat
Aceasta afectiune se distribuie in forma de "pom de Craciun" la nivelul trunchiului si radacinii membrelor si este caracterizata prin aparitia unor pete care variaza de la rosu la roz. Deseori incepe prin aparitia unei pete mari pe spate sau pe abdomen care apoi se imprastie. Iritatia, provocata de un virus nu creaza mancarimi severe si poate sa dispara. Pitiriazisul rozat apare mai des la adolescenti si la tinerii adulti si apare mai frecvent toamna sau primavara. Se rezolva de obicei, fara tratament, in 4-6 saptamani dar poate ramane asa pana la 12 saptamani. Contactati medicul daca eczema este inconfortabila sau dureroasa.
|
Dermatita de contact
Contactul cu un iritant sau cu un alergen cauzeaza aceasta forma de dermatita. Dermatita de contact iritanta produce pete rosii, uscate, are provoaca mancarimi, in special pe maini, degete si fata. Iritantii includ sapunul, detergentii si alte produse de curatare. Dermatita de contact alergica produce pete rosii, umflaturi si uneori basicute. Alergenii pot fi cauciucul, metalele precum nichelul, bijuteriile, parfumurile, cosmeticele, produsele de ingrijire a parului sau plantele precum iedera otravitoare. Daca puteti identifica si evita agentii care provoaca iritatia, inflamatia se trateaza de la sine in 2-3 saptamani. Consultati medicul daca simptomele sunt de durata sau daca iritatia este inconfortabila sau dureroasa.
|
Alergia la medicamene
Orice medicament poate provoca o iritatie- o reactie alergica la medicament. Dar cele mai des intalnite cauze includ antibioticele, diureticele. Alergia apare la 2 saptamani de la inceperea tratamentului si incepe prin aparitia unor pete mici, roz care se raspandesc acoperind suprafete mari ale pielii. O alergie la medicamente poate fi foarte grava si poate ameninta chiar viata. Contactati medicul daca faceti alergie imediat dupa ce luati un anumit medicament. Acesta va determina tratamentul corespunzator. Alergia dispare de la sine in 1-3 saptamani dupa oprirea tratamentului cu medicatia respectiva.
|
Miliaria (iritatiile de la caldura)
Miliaria rubra este un tip de iritatie cauzata de caldura, care apare sub forma unor bubite mici, rosii care pot provoca usturimi. Miliaria cristalina, pe de alta parte, apare sub forma unor mici umflaturi, transparente, umplute cu fluid, care nu produc alte semne sau simptome. Cauzata de o hiperactivitate a glandelor sudoripare, miliaria apare de obicei pe gat, partea superioara a pieptului, sub sani si in cutele coatelor. Aceasta iritatie nu este grava. Se rezolva de obicei de la sine daca stati intr-un mediu mai uscat si mai rece.
|
Intertrigo
In majoritatea cazurilor, intertrigo apare in zonele care se incalzesc mai mult, care sunt umezite, unde pielea se atinge, cum ar fi zona axilara, portiunea anterioara a gatului, cutele abdominale sau sub sani. Umezeala, bacteriile sau fungii pot cauza intertrigo, care este caracterizata de obicei prin roseata si dureri. In cazurile severe, pielea se poate crapa si poate sangera. Aceasta problema se rezolva deseori prin metode de auto-protectie, cum ar fi tinerea acelor zone uscate si evitarea hainelor mulate. Consultati medicul daca inflamatia se extinde sau daca zona respectiva este foarte dureroasa.
|
Lichenul plan
In mod obisnuit, aceasta iritatie apare sub forma unor randuri de leziuni plate, care creaza mancarimi, la nivelul bratelor si picioarelor. De asemenea, poate sa apara pe scalp sau la nivelul membranelor mucoase ale gurii, nasului, vaginului sau anusului. In anumite cazuri, lichenul plan este rezultatul unei reactii alergice la un medicament sau al hepatitei cronice. In cele mai multe cazuri, medicii nu reusesc sa stabileasca cauza. Lichenul plan apare mai des la varsta mijlocie si nu este o afectiune grava. Iritatia poate tine pana la cateva luni sau chiar ani si poate sa reapara. Daca este prezenta la nivelul cavitatii bucale, este important ca medicul sa reduca simptomele si sa mareasca viteza de vindecare a leziunilor. Rareori, lichenul plan aparut in cavitatea bucala, care se vindeca greu, reprezinta semnul unui cancer de piele.
|
Psoriazis
Psoriazisul cauzeaza o crestere a ritmului ciclului de viata al celulelor pielii rezultand zone rosietice acoperite de cruste de culoare alb-argintie care provoaca mancarimi, uscarea pielii si uneori dureri. Inflamatia- care afecteaza deseori genunchii, coatele, trunchiul si scalpul- tinde sa dispara pentru o perioada. Psoriazisul mereu reapare, intr-un fel sau altul. De asemenea, poate sa apara alaturi de artrita. Pentru unele persoane, aceasta stare cronica afecteaza prea putin. Pentru alte persoane, psoriazisul poate avea consecinte mai grave. Consultati medicul daca aveti dureri si disconfort sau daca va este greu sa va indepliniti sarcinile zilnice din pricina psoriazisului.
|
Tinea corporis (Impetigo)
Tinea corporis este o dermatomicoza care apare sub forma unor cercuri (inele) rosii, cu cruste, usor umflate, la nivelul pielii de pe trunchi, fata, gat sau coapse. Impetigo este contagios si se poate transmite pe mai multe cai, incluzand contactul pielii sau contactul cu un obiect contaminat cum ar fi lenjeria nespalata. De asemenea se poate transmite de la animale la oameni. Infectia se trateaza de la sine in 4 saptamani, dar de obicei necesita un tratament. Daca aveti umflaturi, febra sau o roseata excesiva, consultati medicul imediat!
|
Rozaceea
Desi rozaceea poate sa semene bine cu acneea, de fapt este o stare cronica, inflamatorie a pielii la adulti. Cauzeaza roseata pielii de pe fata si produce umflaturi mici, rosii si umplute cu puroi. Rozaceea afecteaza in special persoanele cu varsta cuprinsa intre 30 si 60 de ani, in special persoanele cu pielea deschisa la culoare. Cauza rozaceei este necunoscuta dar cercetatorii considera ca este vorba de o combinatie intre factori genetici si factori de mediu. Pentru majoritatea persoanelor, rozaceea este ciclica, apare periodic, isi pierde din intensitate si apoi apare din nou. Chiar daca nu exista un leac, tratamentul poate controla si reduce semnele si simptomele. Daca aveti o roseata persistenta a pielii fetei, consultati medicul pentru un diagnostic si pentru un tratament adecvat.
|
Zona Zoster
Zona Zoster apare atunci cand virusul care cauzeaza varicela (varicella zoster) se reactiveaza dupa ce acesta ramane inactiv in celulele nervoase. Cand virusul se reactiveaza, apare o durere sau o amorteala intr-o anumita zona, de obicei pe o parte a corpului sau pe fata. Apoi apare o iritatie cu basicute. Acestea se sparg lasand ulcere superficiale sa se usuce si sa formeze cruste. Zona Zoster se vindeca de obicei in 2-3 saptamani fara tratament. Pentru persoanele care au peste 60 de ani, disconfortul dat de zona Zoster dureaza pana la cateva saptamani sau luni. Contactati medicul daca simptomele dureaza mai mult decat este cazul si daca aveti dureri.
|
Iritatiile inotatorilor
Parazitii din apele infectate pot patrunde prin straturile superficiale ale pielii- care nu este acoperita. Organismele mor foarte repede si cauzeaza o reactie alergica a pielii. Initial, iritatia este moderata si consta in roseata pielii si e insotita de mancarimi. In urma mai multor expuneri la aceste organisme, reactia poate fi mult mai severa cauzand uneori basicute. Iritatiile nu sunt severe si de obicei se trateaza de la sine in decursul unei saptamani. Consultati medicul daca iritatia nu dispare dupa o saptamana sau saca aveti o senzatie de disconfort sau dureri.

